
蜜桃影视在线 - 实验大小鼠的遗传质量控制和遗传监测:遗传质量控制
基于FELASA实验小鼠遗传质量控制和遗传检测工作组的报告,本公众号前期文章《实验大小鼠的遗传质量控制和遗传监测: 标准化实验大小鼠分类》一文介绍了常见标准化啮齿类动物和几种获得遗传工程啮齿动物的基本方法,本文将继续依据该报告的内容,重点介绍如何进行小鼠遗传质量控制和遗传监测 蜜桃影视。
当你的设施有新构建或者引入一种GA(Genetically altered)啮齿类动物时,应完整记录这些动物的详细信息,同时,这些信息也必须伴随着相应动物品系一起传递给所有可能会使用它的研究者 蜜桃影视在线,这些信息包括但不限于:正确的品系名称,对于突变的完整描述,动物的遗传背景,基因鉴定方案和相关表型描述等,设施管理者可以设计一些固定格式的表格用于记录这些信息。
关于命名法重要性的概述,可以参考“FELASA转基因啮齿动物生产和命名指南”,没有一个公认的命名法,就不可能准确地交流科学成果,同时模糊或不完整的命名会引发错误,会使实验结果的可重复性降低,因此,应根据国际命名规则命名不同品系,特别是当同一品系被保存在世界各地不同的设施或它们被加入数据库中时 蜜桃影视高清,这一点显得尤为重要,指导命名的规则由国际小鼠和大鼠标准化遗传命名委员会制定,并不断更新,这些规则最近一次修订是在2016年1月,在MGI网页的“小鼠和大鼠品系命名指南”中有详细描述。
遗传变异的来源
啮齿类动物设施面临的一个重要挑战是保持近交系的遗传背景纯正,并将GA系动物维持在明确的遗传背景之下,近交系的遗传变异可能由以下因素产生:(a)意外的杂交造成的污染,(b)由于残留的杂合性或新的自发突变的固定造成的遗传漂变,遗传变异的引入通常有以下几种途径: 蜜桃影视免费观看。
(1)遗传污染
来自一个近交系的个体与另一个来源的动物意外交配导致的基因污染是近交系中遗传谱系改变的最重要来源,这种类型的基因污染会导致等位基因发生突然的大规模改变,尤其在具有相同被毛颜色的品系中更容易发生,例如带有白化等位基因(Tyrc /Tyrc ) 在线影视,agouti(A/A)或非agouti(a/a)的品系之间,因此在饲养具有相同被毛颜色的不同品系动物时需要格外小心,尽可能防止其近距离接触,有关小鼠毛色遗传,可参阅本号前文《小鼠的毛色是如何形成的,》。
(2)自发突变
自发突变是在个体中由于自然存在的诱变剂或DNA复制,转录,修复时偶然出现的碱基配对错误而产生的突变,是一种不受控制的遗传变异来源,通常无法通过简单的表型观察或者常规的遗传监测发现 蜜桃视频。
(3)遗传漂变
遗传漂变是指某个小群体中 蜜桃影视,由于新突变的出现以及残留杂合性的等位基因逐步固化在纯合状态,并取代了原来的等位基因的过程。
当同一品系在不同地方独立繁殖时,遗传漂变对品系的分化和亚品系的产生有不可忽视的作用,小鼠亚品系的例子很多 蜜桃影视在线,例如,已发现有10个有记录的BABL/c亚系和15个C57BL/6亚系,包括来自杰克逊实验室的C57BL/6J和来自美国国立卫生研究院(NIH)的C57BL/6N亚系,同样,许多大鼠近交系也至少有两个亚系,例如SHR至少有四个亚系,包括SHR/Ola和SHR/NCrl,WKY和F344至少各有三个亚系。
(4)乘客突变
乘客突变是指隐藏在亚系或者是GA系动物的基因组中的突变 蜜桃影视高清,这些突变在某些特定情况下能够影响到动物实验结果,例如在最常见的C57BL/6中的两个亚系C57BL/6J和C57BL/6N,由于一些自发的突变,如C57BL/6N中出现了可导致视网膜退变的Crb1rd8突变,而C57BL/6J中则出现了Nnt基因的缺失,正因这类乘客突变的存在,在进行表型分析时,要特别注意观察到的表型是由于目标基因的修饰还是遗传背景中存在的突变造成的,并藉此选择合适的对照组动物。
遗传质量控制方案
目前实验啮齿类动物的遗传质量控制金标准是依靠遗传标记多态性来区分不同的遗传背景。
遗传标记是染色体上已知位置的特定DNA序列,是遗传质量控制的基本工具,遗传质量控制对确定动物的遗传组成,确定品系的一致性和真实性是必要的,值得注意的是,一般不会对封闭群动物进行遗传标记一致性的检测,相反,应该对封闭群动物的遗传异质性水平进行确认 在线影视,以检测遗传污染,监测育种方案的科学性。
标记系统
大鼠和小鼠中已经发现多种多态性,然而,在目前的质量保证方案中,只有微卫星DNA和SNPs被用作遗传标记物。微卫星标记,又被称为短串联重复序列(short tandem repeats,STRs)或简单重复序列(simple sequence repeats,SSR),是均匀分布于真核生物基因组中的简单重复序列,其典型结构是由2~6个核苷酸的序列串联重复几次到几十次构成,这种重复造就了染色体之间的等位基因多样性。微卫星标记通常先通过PCR方式扩增包含微卫星序列的区域,再对扩增产物通过电泳分析和片段大小进行等位基因差异分析。
SNP分型是微卫星标记的一种替代方法,现在应用范围更广。SNP多态性是指在基因组水平上由单个核苷酸的变异所引起的DNA序列多态性,编码区和非编码区都有SNP的存在。
杰克逊实验室的Petkov和他的同事从48个小鼠品系中的235个SNPs的等位基因中选择了28个SNP,这些位点已足以区分杰克逊实验室所保存的约300个近交系、野生型、同类系、染色体置换系和重组近交系中的大多数动物。一些研究者也报道了大鼠可用的SNPs。例如,Zimdahl和他的同事描述了来自转录区的超过12,000个SNPs。
近交系和远交系的遗传监测
目前(在欧美国家)使用的主流的遗传监测技术是基于微卫星或SNPs 的检测。然而,我们建议,除了分子技术,同时也应该监测动物的表型参数,如毛色、行为和繁殖能力等。商业育种者对控制遗传污染的发生应更为重视,并定期监测其品系的遗传质量。杰克逊实验室采用了一种独特的、已获专利的遗传稳定计划,即通过每五代就重新从纯种的、冷冻的胚胎中重建他们的基础种群来有效地限制遗传漂变的积累。例如,从2005年开始,他们出售的C57BL/6J小鼠都是两只选定的小鼠的后代,而他们冷冻的数百个胚胎足以持续使用25-30年。特别需要注意的是,当从冷冻库存中复苏胚胎时,也应进行遗传检测,以确保冷冻前及冷冻过程中没有发生遗传污染或其他错误。
对于远交系,遗传监测有助于保持群体的遗传多样性和等位基因库。这个过程更为复杂,需要分析大量的动物,并将这些数据与历史数据进行比较,记录存在的等位基因、它们的频率和该特定群体的杂合度水平。在某些情况下遗传多样性缺失的结果会导致一个群体的异质性降到较低水平。低异质性可能是源于繁殖种群的选择不当,繁育体系执行中的偏离,或是起始的繁殖群体过小。相反,过高的异质性可能是由近期出现的远交造成的。大体上,需通过测量表型性状和计算相应的平均值和标准差来描述远交系的基本特征。对远交系遗传控制的原则是避免近亲繁殖并在各代中保持其遗传多样性。
自繁近交系小鼠和大鼠的遗传监测
建议从可靠的供应商购处买动物,并在10代后用同一供应商的动物替换繁殖种群,不建议长期维持经典近交品系的独立种群。使用来自同一供应商的动物可以有效的防止产生突变的亚品系。同时,自繁动物也应该用微卫星标记或SNPs检测进行遗传质量监测,以确保其遗传质量的可靠性。
微卫星检测可以用于验证近交系小鼠品系背景的纯度,是否有遗传污染的痕迹。这对于在同一饲养间内饲养具有相同毛色的品系的动物设施,尤其是在不使用IVC笼具的设施来说尤其重要。微卫星检测的标记物数量尚未标准化,标记物的选择应根据设施维持品系的种类和数量进行相应的调整。
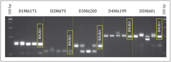
由于近交系动物的基因序列高度一致,基因都是纯合的,当对一个特定的微卫星位点进行基因分型的时候,在电泳时只会呈现单一条带,代表一个等位基因,而任何杂合性的存在,例如有两个条带或者与对照组条带大小不一致时,就应该被视为有潜在的污染(图1)。

图1. 通过SSLP PCR检测基因污染的例子
图片是PCR扩增后得到的特征条带,这些条带来自四只据称属于BALB/c品系的小鼠的基因组DNA(每组的前四个泳道),加上BALB/c的标准DNA对照(最后一个泳道)。本图片只显示了位于1至5号染色体上的五个SSLP位点。可见存在杂合性(两条带)和不符合BALB/c标准的条带大小的条带存在。
对于种群数量较小,且采用隔离饲养,也没有高频次动物引进的设施,每两年一次检测就可以有效的监测动物遗传质量。
使用SNP组监测动物遗传质量时,利用均匀分布在染色体上的四十多个SNPs就可以有效检出近期发生的遗传污染,检测位点数量可根据每个机构的实际情况和设施面对的风险程度而定。SNP基因分型目前可以在不同的平台上进行,其成本和自动化能力各不相同。Kompetitive Allele Specific PCR(KASP)和Taqman实时荧光定量PCR是常用的检测方式,相比较而言,前者的自动化程度更高,成本更低,但对检测样本量的下限有一定要求。
远交系种群的遗传质量监测
远交系的遗传质量监测比近交系要复杂的多,因为这些动物的基因并不一样,它们本质上是一群密切相关的动物,有共同的祖先和群体特征,但表现出一定程度的遗传多样性,所以仅仅用少量的遗传标记就很难建立一个标准的遗传监测方案。然而,通过监测足够数量的SNPs或者SSLPs位点,就可以说明群体内的等位基因频率和种群的遗传特征。
远交系遗传质量控制面临的主要问题之一是,许多管理者用非常小规模的繁殖种群,导致种群中有代表性的等位基因数量减少,增加了近亲繁殖系数,这种种群既不是真正意义上的远交系,也不是近交系。因此,如果无法维持适当基数的繁殖种群的时候,就建议从那些有大规模繁殖种群的供应商处购买远交系动物,或者遵循推荐的繁殖方案,以减少近亲繁殖。
参考文献:
[1] Benavides F , T Rülicke, Prins J B , et al. Genetic quality assurance and genetic monitoring of laboratory mice and rats: FELASA Working Group Report:[J]. Laboratory Animals, 2020, 54(2):135-148.

